
Dental Implant Center of Rockville provides All-on-4® Dental Implants in Rockville, MD. Call 301-294-8700 to learn more and schedule your appointment.
What are All-on-4 Dental Implants?
The All-on-4 Treatment Concept is an innovative dental technique designed to support a full arch of prosthetic teeth using only four to six strategically placed dental implants. This approach provides a stable and secure solution for those in need of extensive dental restoration. Two of these implants are carefully placed in the jaw at a specific angle, which maximizes support and stability.
This unique method allows patients who have experienced jawbone loss to potentially be candidates for a full arch restoration, even if they are not suitable for traditional dental implant surgery. By minimizing the number of implants required, the All-on-4 Treatment Concept offers a less invasive and more cost-effective option for restoring functionality and aesthetics to a patient's smile.
Benefits of All-on-4 Treatment Concept
The All-on-4® treatment concept involves inserting anterior implants vertically and two posterior implants at an angle, allowing them to maximize the amount of support they get from the existing bone without the need for bone grafting. The fixed prosthesis that attaches to the implants is more secure and stable than a traditional denture.
Another advantage of All-on-4® treatment concept is that both the surgical implant placement and the prosthetic attachment (temporary) can be done in one visit. This makes the All-on-4® treatment concept more convenient and cost-effective, and it also minimizes the pain post-surgery as the teeth rest on the implants and not on the gum tissue like traditional dentures.
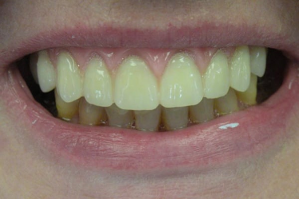
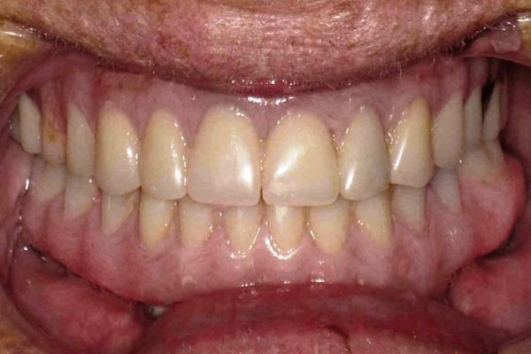
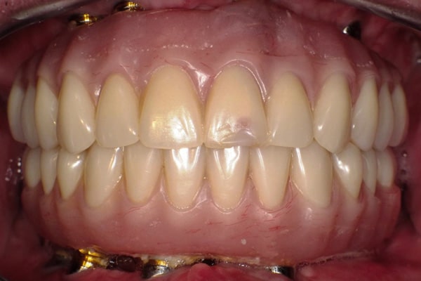
Full arch restorations are more stable than traditional dentures because they are secured in place with dental implants. They won’t slip, irritate your gums, or interfere with your ability to speak or eat. You won’t have to take out your full arch restoration every night because it is fixed. Most importantly, a full arch restoration will preserve the bone in your jaw, leading to a stronger bite, improved oral health, and a more youthful appearance.
Am I a Good Candidate for All-on-4 Dental Implants?
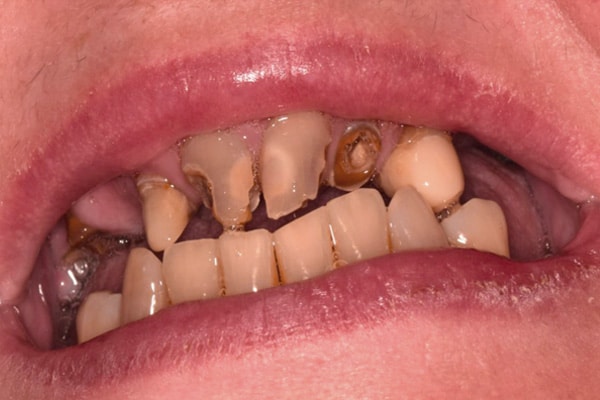
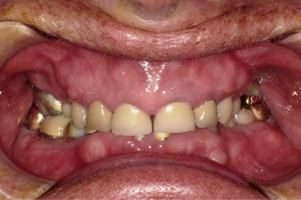
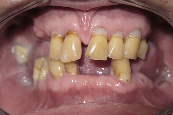
Determining if you are a suitable candidate for All-on-4 Dental Implants involves several factors that we carefully assess during your consultation. Generally, good candidates for this treatment are individuals who have lost most or all of their teeth in the upper or lower jaw and wish to restore their smile and oral functionality. A healthy gum tissue and a commitment to proper oral hygiene are also essential, as these factors significantly contribute to the success of the implants.
Additionally, candidates should have sufficient jawbone to support the implants, though the unique placement method of All-on-4 can often accommodate those with moderate bone loss. If you have been advised against traditional implants due to health issues or inadequate bone density, the All-on-4 Treatment may still be a viable solution for you. Ultimately, our compassionate team will work closely with you to evaluate your specific needs and health conditions, ensuring you receive the care and support necessary to make an informed decision about your dental restoration options.
Why Choose the Dental Implant Center of Rockville?
When it comes to selecting a provider for your All-on-4 Dental Implants, Dr. Sreeni and the dedicated team at the Dental Implant Center of Rockville stand out for their unwavering commitment to patient care and superior outcomes. Dr. Sreeni brings extensive experience and advanced training in implant dentistry, ensuring that each treatment plan is tailored to meet the individual needs and circumstances of every patient. His compassionate approach fosters a trusting relationship, allowing patients to feel confident and comfortable throughout their journey toward restoring their smiles.
Additionally, the Dental Implant Center of Rockville prioritizes cutting-edge technology and best practices to enhance your treatment experience. From the initial consultation to the final placement of your implants, patients benefit from a one-on-one, service-oriented focus that addresses not only their dental needs but also their emotional comfort. By choosing Dr. Sreeni, patients can expect a supportive environment where their well-being is of utmost importance, leading to transformative results that improve both function and appearance.











Frequently Asked Questions
The biggest distinction between the All-on-4 Dental Implants and traditional implants is the number of implants used. Because the All-on-4 Treatment only uses four to six strategically placed implants, it not only reduces the need for bone grafting but also allows for a quicker recovery, with both the implant placement and temporary prosthesis fitting often completed in a single appointment. As a result, patients experience enhanced stability and comfort, significantly improving their overall oral function and quality of life.
The dental implant fixtures that secure the full arch restoration prosthesis in place are meticulously crafted to last a lifetime. Made from biocompatible materials like titanium, these fixtures integrate with the jawbone, providing stable and durable support. With proper care and maintenance, they should never need to be replaced, allowing individuals to enjoy the benefits of a confident smile and improved oral function for many years.
A full arch restoration feels, functions, and looks much like your natural teeth, with a foundation that closely mimics the appearance of your gums. This advanced dental solution offers not only a natural aesthetic but also enhanced functionality, allowing you to enjoy your favorite foods without worry. It is more stable than a traditional complete denture, thanks to its secure foundation, so it won’t rock, slip, or cause irritation. This stability provides confidence in daily activities, eliminating the common inconveniences associated with conventional dentures.
Patients should brush their implants at least twice a day with a soft-bristle toothbrush and non-abrasive toothpaste, as well as floss daily to remove food particles and plaque. Regular dental check-ups and professional cleanings are also vital to ensure that both the implants and surrounding gum tissue remain healthy and free from infection.
Only a dentist or oral surgeon is qualified to remove the full arch restoration prosthesis, as it requires specialized knowledge and tools to ensure the procedure is performed safely and effectively without damage to the surrounding tissues or underlying structures.
Living with missing teeth or broken teeth can make eating, speaking, and smiling difficult. At Dr. Sreeni’s practice, we provide advanced restorative treatments and dental treatment options designed to restore function and beauty while helping you achieve optimal oral health. Our experienced team creates a personalized treatment plan for every patient, addressing concerns like gum disease and long-term stability.
For those considering multiple dental implants, our modern techniques offer a permanent solution that looks and feels completely natural. We focus on improving overall oral health through precision care and customized solutions that stand the test of time. To make treatment accessible, we work with most dental insurance plans and offer flexible payment options. Experience the confidence of a complete, healthy smile with Dr. Sreeni’s trusted approach to lasting restoration in Rockville.
Call 301-294-8700 to schedule an appointment.

