
We offer an extensive list of services, some of which are included below. If you have further questions or would like to schedule an appointment, please give our friendly staff a call. You can click on any of the topics listed below to learn more or view informational videos by clicking on the button below.

Dental Implants
Dental implants are composed of three pieces: a small screw made of a biocompatible metal called titanium, an abutment that connects the screw, and the final restoration.

Wisdom Tooth Removal (3rd Molars)
Not all wisdom teeth need to be removed, but when determining whether or not to remove one or more third molars, our team will assess the following factors: crowding, jaw size, impaction, and proper occlusion.

All-On-4® Treatment Concept
The All-On-4® Treatment Concept is a unique implant solution that allows patients who are missing all of their upper or lower teeth to replace a full arch of teeth using only 4 implants as “anchors” for the full restoration.

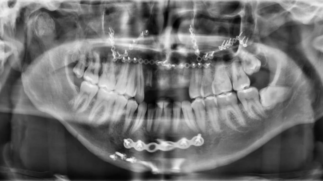
Orthognathic Surgery (Jaw Surgery)
Corrective jaw surgery can improve function and correct problems with breathing, speaking, or appearance that are caused by a poor jaw or tooth alignment.
Our Rockville team is dedicated to protecting your oral health and restoring function with advanced solutions like implant-supported dentures for those with missing teeth. We work closely with you to determine the best treatment for your needs, ensuring a smooth process and minimal discomfort so you can enjoy a confident, healthy smile.









