
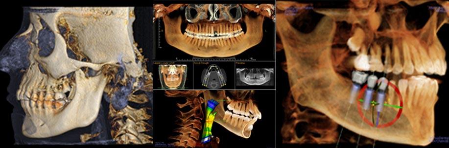
iCAT™ cone beam technology provides a 3D digital tomographic view of the patient’s area of interest. The 3D Cone Beam scanner provides nearly limitless views of the teeth while using less radiation than traditional medical CT technology. This new technology is fast, simple, and painless, providing many wonderful benefits that were unavailable only a few years ago.
While a traditional X-ray is only two-dimensional, iCAT™ technology allows Dr. Sreeni to visualize a 360-degree view of the tooth and all surrounding areas for the most comprehensive and detailed images that are then used to diagnose, plan, and complete treatment. Our 3D-guided implant technology enables us to place your implants with greater precision and accuracy than ever before, maintaining the highest quality of treatment and restoration of your smile.

